
در سال های اخیر مصرف نوشابه های گازدار در میان همه گروه های سنی به شکل چشمگیری افزایش یافته است. بسیاری از افراد این نوشیدنی ها را به عنوان بخشی از رژیم غذایی روزانه خود مصرف می کنند، بدون آن که توجهی به اثرات بلندمدت آن بر سلامت دهان و دندان داشته باشند. نوشابه های گازدار برخلاف ظاهر جذاب و طعم دلنشینشان، ترکیباتی دارند که می توانند به طور مستقیم موجب تخریب مینای دندان، بروز پوسیدگی، حساسیت دندانی و حتی التهاب لثه شوند. این نوشیدنی ها حاوی مقادیر زیادی اسید فسفریک، اسید سیتریک و قندهای ساده هستند که هم محیط دهان را اسیدی می کنند و هم با تغذیه باکتری های دهانی، زمینه را برای تولید اسید بیشتر و تخریب ساختار دندان فراهم می آورند.
هدف این مقاله بررسی علمی و تخصصی تاثیر نوشابه های گازدار بر سلامت دهان و دندان است. لازم است تاکید شود که مطالب این مقاله صرفاً جنبه آموزشی و اطلاع رسانی دارند و به هیچ وجه جایگزین معاینه و درمان تخصصی توسط دندانپزشک نیستند. در صورتی که فرد دچار پوسیدگی، حساسیت یا تغییر رنگ دندان شده باشد، باید حتما به پزشک متخصص دندانپزشکی مراجعه کند تا درمان مناسب برای حفظ سلامت دهان انجام شود.
فهرست مطالب
- ترکیبات نوشابه های گازدار و تاثیر آنها بر ساختار دندان
- اثر اسیدهای موجود در نوشابه بر مینای دندان
- نقش قندهای ساده در ایجاد پوسیدگی دندان
- تفاوت اثر نوشابه های رژیمی و معمولی بر سلامت دهان
- ارتباط نوشابه های گازدار با بیماری های لثه
- عوامل تشدید کننده اثرات مخرب نوشابه ها بر دهان
- راهکارهای عملی برای کاهش آسیب نوشابه بر دندان
- نتیجه گیری
- سوالات متداول
ترکیبات نوشابه های گازدار و تاثیر آنها بر ساختار دندان
نوشابه های گازدار متشکل از چند ماده اصلی هستند؛ آب کربناته، شکر یا شیرین کننده های مصنوعی، رنگ های خوراکی، اسید فسفریک یا اسید سیتریک، و طعم دهنده های مصنوعی. حضور این ترکیبات به ویژه اسیدها و قندهای ساده باعث می شود که نوشابه از نظر شیمیایی برای ساختار دندان بسیار مضر باشد. اسید فسفریک و اسید سیتریک pH نوشیدنی را کاهش داده و آن را به محدوده ای کاملاً اسیدی می رسانند، که همین خاصیت باعث حل شدن تدریجی مواد معدنی سطح دندان می شود. وقتی این فرآیند در طول زمان تکرار گردد، مینای دندان که سخت ترین بخش بدن انسان محسوب می شود، شروع به فرسایش کرده و مقاومت خود را در برابر عوامل محیطی از دست می دهد.

از طرف دیگر، قندهای موجود در نوشابه ها غذایی عالی برای باکتری های دهان مانند Streptococcus mutans هستند. این باکتری ها پس از تغذیه از قند، اسید لاکتیک تولید می کنند که خود روند تخریب مینای دندان را سرعت می بخشد. در نتیجه با ترکیب اثر مستقیم اسید نوشابه و تولید اسید ثانویه توسط باکتری ها، ساختار دندان در معرض دو حمله شیمیایی همزمان قرار می گیرد.

اثر اسیدهای موجود در نوشابه بر مینای دندان
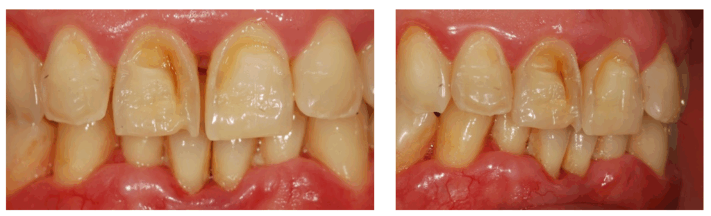
مینای دندان از ترکیبی به نام هیدروکسی آپاتیت تشکیل شده که بسیار به اسیدها حساس است. وقتی فرد نوشابه مصرف می کند، اسید وارد دهان شده و محیط را اسیدی می کند. این اسیدی بودن حتی پس از بلع نوشیدنی تا چند دقیقه باقی می ماند و باعث می شود مواد معدنی از سطح دندان جدا شوند. مطالعات نشان می دهند که نوشابه های گازدار با pH بین ۲ تا ۳ قادرند تا بیش از ۳۰ درصد از ضخامت مینای دندان را در بلندمدت کاهش دهند. این فرسایش به ویژه در قسمت های جلویی دندان و نزدیک خط لثه شدت بیشتری دارد.
فرسایش مینای دندان نه تنها باعث کاهش زیبایی دندان و زردی آن می شود، بلکه حساسیت دندانی را نیز افزایش می دهد. بسیاری از افراد پس از مصرف نوشابه های گازدار احساس تیر کشیدن یا درد هنگام نوشیدن آب سرد یا خوردن غذای داغ دارند که نشانه بارز فرسایش مینای دندان است. اگر این روند ادامه یابد، ممکن است نیاز به ترمیم های پیچیده یا حتی روکش گذاری دندان باشد.
نقش قندهای ساده در ایجاد پوسیدگی دندان
قندهای ساده موجود در نوشابه مانند گلوکز، فروکتوز و ساکاروز نه تنها برای بدن زیان آور هستند بلکه اثر تخریبی شدیدی بر سلامت دهان دارند. این قندها در تماس با باکتری های دهان سریعا تخمیر می شوند و منجر به تولید اسید لاکتیک می گردند. اسید حاصل، محیط دهان را به سمت اسیدی شدن سوق داده و شرایط را برای از بین رفتن مواد معدنی دندان مهیا می کند. پوسیدگی دندان زمانی آغاز می شود که سطح دندان به طور مداوم در معرض pH پایین قرار گیرد و قابلیت بازسازی طبیعی بزاق از بین برود.

نکته مهم دیگر در مورد نوشابه و قندهای آن این است که اگر نوشابه به صورت جرعه جرعه و طی مدت طولانی نوشیده شود، تماس مداوم شکر با دندان احتمال پوسیدگی را چند برابر می کند. بنابراین شکل مصرف نیز به اندازه دفعات آن اهمیت دارد. دندانپزشکان توصیه می کنند اگر قرار است نوشابه مصرف شود، بهتر است همراه غذا و نه به صورت مستقل نوشیده شود تا بزاق بتواند بخشی از اثر اسید را خنثی کند.
تفاوت اثر نوشابه های رژیمی و معمولی بر سلامت دهان
بسیاری از افراد تصور می کنند نوشابه های رژیمی که فاقد قند هستند، برای دندان ها بی خطرند. در حالی که بررسی های علمی خلاف این تصور را نشان داده است. اگرچه نوشابه های رژیمی شکر ندارند، اما حاوی اسیدهای مشابه نوع معمولی هستند که تاثیر مستقیم بر مینای دندان دارند. اسید فسفریک و اسید سیتریک همچنان در این نوشیدنی ها وجود دارند و باعث ایجاد فرسایش می شوند. تنها تفاوت در این است که از نظر تولید اسید توسط باکتری ها کمی کمتر مخرب اند، اما خاصیت حل کنندگی مینای دندان همچنان به قوت خود باقی است.
در واقع نوشابه های رژیمی به دلیل طعم مصنوعی و اسیدیته بالا ممکن است حتی بزاق را کمتر فعال کنند و در نتیجه توان بدن برای بازسازی سطح دندان کاهش یابد. از این رو، مصرف هر دو نوع نوشابه می تواند پیامدهای منفی برای سلامت دهان داشته باشد و انتخاب نسخه رژیمی به هیچ وجه جایگزین ایمن تلقی نمی شود.
ارتباط نوشابه های گازدار با بیماری های لثه
یکی از اثرات غیرمستقیم مصرف مداوم نوشابه های گازدار، بروز بیماری های لثه است. وقتی مینای دندان آسیب می بیند و سطح دندان زبر می شود، پلاک های میکروبی راحت تر روی آن تجمع پیدا می کنند. این پلاک ها عامل اصلی التهاب و عفونت لثه هستند. همچنین قند نوشابه محیط دهان را برای رشد باکتری های مضر فراهم می کند و تولید سموم التهابی افزایش پیدا می کند. در نتیجه ممکن است فرد دچار خونریزی از لثه، تورم، یا بوی بد دهان شود که نشانه های آغاز بیماری پریودنتال هستند.
مطالعات کلینیکی نشان داده اند افرادی که روزانه نوشابه مصرف می کنند، دو برابر بیشتر از سایرین در معرض التهاب لثه هستند. به علاوه، نوشابه های تیره رنگ ممکن است با تجمع رنگدانه ها روی دندان و لثه، ظاهر دهان را تیره تر کنند. در صورت ادامه، آسیب به بافت نرم لثه می تواند به تحلیل استخوان فک منجر شود که درمان آن پیچیده و هزینه بر خواهد بود.
عوامل تشدید کننده اثرات مخرب نوشابه ها بر دهان
چند عامل وجود دارد که می تواند اثرات منفی نوشابه بر دندان را تشدید کند. یکی از مهم ترین آن ها خشک شدن دهان است. بزاق نقش محافظ طبیعی دندان را دارد و اسید دهان را خنثی می کند. اگر فرد در طول روز آب کمی بنوشد یا داروهایی مصرف کند که ترشح بزاق را کاهش دهد، خطر فرسایش دندان بعد از مصرف نوشابه افزایش می یابد. همچنین جویدن یخ یا استفاده از نی در تماس مستقیم نوشابه با دندان های جلویی نقش دارد.
عامل دیگر زمان مصرف نوشابه است. نوشیدن نوشابه قبل از خواب یکی از خطرناک ترین عادات است، زیرا در زمان خواب تولید بزاق کم می شود و اسید موجود در دهان مدت طولانی تری باقی می ماند. علاوه بر این، مصرف نوشابه بعد از مسواک زدن نیز می تواند خطرناک باشد چون مسواک سطح مینای دندان را موقتا نرم می کند و اسید نوشابه به آسانی نفوذ می کند.
راهکارهای عملی برای کاهش آسیب نوشابه بر دندان
توصیه متخصصان دندانپزشکی برای کاهش آسیب ناشی از نوشابه بسیار ساده اما موثر است. نخست، محدود کردن مصرف نوشابه بهترین اقدام ممکن است. توصیه می شود نوشابه فقط در موقعیت های خاص و نه به صورت روزانه مصرف شود. دوم، استفاده از نی هنگام نوشیدن نوشابه باعث می شود تماس اسید با دندان های جلویی کمتر شود. همچنین بلافاصله پس از نوشیدن، دهان را با آب ساده شستشو دهید تا اسید خنثی شود.

مصرف مواد غذایی سرشار از کلسیم مانند شیر و ماست نیز به بازسازی مینای دندان کمک می کند. از طرف دیگر، نباید بلافاصله بعد از نوشابه مسواک زد، زیرا مینای دندان در آن لحظه نرم است. بهتر است حدود ۳۰ دقیقه بعد از نوشیدن، مسواک زده شود تا بزاق بتواند در این مدت سطح دندان را ترمیم کند. و در نهایت، مراجعه دوره ای به دندانپزشک برای بررسی پوسیدگی و انجام فلوراید تراپی از مهم ترین روش های پیشگیری است.
نتیجه گیری
نوشابه های گازدار با ترکیبات اسیدی و شیرین خود یکی از مهم ترین عوامل مخرب سلامت دهان و دندان محسوب می شوند. این نوشیدنی ها نه تنها ساختار مینای دندان را تضعیف می کنند بلکه با افزایش رشد باکتری های دهانی باعث پوسیدگی و التهاب لثه می شوند. جایگزین های سالم مانند آب، شیر یا نوشیدنی های طبیعی می توانند خطرات ناشی از نوشابه را به حداقل برسانند. آگاهی از تاثیرات منفی نوشابه گام اول در حفظ سلامت دهان است و گام دوم، تغییر عادت غذایی و رعایت اصول بهداشت دهان و دندان است.
سوالات متداول
۱. آیا نوشابه های رژیمی برای دندان بی ضرر هستند؟
خیر. نوشابه های رژیمی حاوی اسیدهای مشابه نوع معمولی هستند و همچنان می توانند فرسایش مینای دندان را ایجاد کنند. تنها از نظر پوسیدگی ناشی از قند کمی کمتر مضرند، اما به طور کلی بی خطر نیستند.
۲. بعد از نوشیدن نوشابه چه کار کنیم تا آسیب به دندان کمتر شود؟
بهتر است بلافاصله دهان را با آب بشویید و حدود نیم ساعت صبر کنید تا بزاق pH دهان را به حالت طبیعی بازگرداند، سپس مسواک بزنید.
۳. آیا نوشابه های بدون گاز تاثیری بر دندان ندارند؟
نوشیدنی های بدون گاز اگر حاوی اسید یا قند باشند، همچنان می توانند اثر منفی بر دندان داشته باشند، هرچند شدت آسیب کمتر از نوشابه های گازدار است.
منابع
- American Dental Association (ADA) – “Soft Drinks and Dental Health”, ۲۰۲۴.
- National Institute of Dental and Craniofacial Research – “Effects of Acidic Beverages on Enamel”, ۲۰۲۳.
- Journal of Dentistry – “Enamel Erosion from Carbonated Drinks: A Clinical Review”, ۲۰۲۲.


