
بیماری های لثه یکی از شایع ترین مشکلات دهان و دندان در جهان هستند که نه تنها سلامت دندان ها و بافت های دهانی را تخریب می کنند، بلکه اثرات آن فراتر از دهان می رود و می تواند با بیماری های سیستمیک مانند بیماری های قلبی، دیابت و حتی اختلال نعوظ مرتبط باشد. اختلال نعوظ، مشکلی رایج در مردان است که بر کیفیت زندگی و روابط شخصی تاثیر می گذارد و می تواند ناشی از عوامل مختلفی شامل مشکلات روانی، هورمونی، عروقی و عصبی باشد.
مطالعات اخیر در مجلات معتبر دندانپزشکی و اورولوژی نشان داده اند که التهاب مزمن ناشی از بیماری های لثه ممکن است منجر به تخریب عروق و کاهش جریان خون شود و همین فرآیند، یکی از مکانیسم های کلیدی ایجاد اختلال نعوظ است. در واقع، باکتری ها و مواد التهابی موجود در بیماری لثه می توانند وارد جریان خون شده و باعث آسیب به پوشش داخلی رگ ها (اندوتلیوم) شوند، که نتیجه آن کاهش توانایی بدن در ایجاد و حفظ نعوظ خواهد بود.

این مقاله بر اساس تازه ترین تحقیقات علمی از جمله مقاله منتشر شده در Oral Health Group تهیه شده است و هدف آن افزایش آگاهی از این ارتباط و تشویق مردان به مراقبت جدی از سلامت دهان و دندان برای پیشگیری از مشکلات بزرگ تر است. لازم به ذکر است که مطالب این مقاله صرفا جنبه آموزشی و اطلاع رسانی دارند و جایگزین تشخیص یا درمان پزشکی نیستند؛ بنابراین برای بررسی و درمان هر گونه مشکل، مشاوره با پزشک یا دندانپزشک ضروری است.
فهرست مطالب
- تعریف بیماری لثه و اختلال نعوظ
- مکانیسم های علمی ارتباط بیماری لثه با اختلال نعوظ
- آمار و داده های پژوهشی در مورد این ارتباط
- عوامل خطر مشترک بین بیماری لثه و اختلال نعوظ
- نقش التهاب مزمن در آسیب عروق و عملکرد جنسی
- اهمیت بهداشت دهان در پیشگیری از اختلال نعوظ
- روش های تشخیص بیماری لثه و ارزیابی عملکرد جنسی
- درمان بیماری لثه برای کاهش خطر اختلال نعوظ
- پیشگیری و تغییر سبک زندگی
- نتیجه گیری
- سوالات متداول
تعریف بیماری لثه و اختلال نعوظ
بیماری لثه
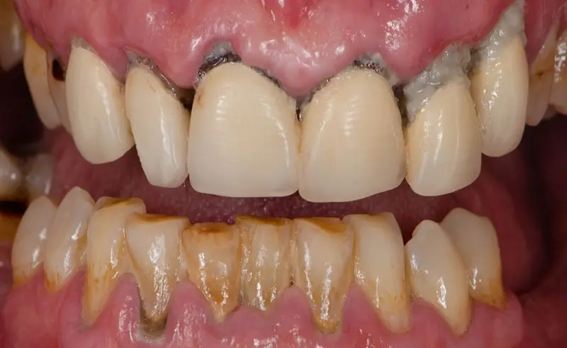
بیماری لثه که به نام بیماری پریودنتال نیز شناخته می شود، یک عفونت و التهاب مزمن در بافت های حمایت کننده دندان شامل لثه، استخوان اطراف دندان و رباط های پریودنتال است. این بیماری بر اثر تجمع پلاک باکتریایی روی دندان و عدم رعایت بهداشت دهان ایجاد می شود. دو شکل اصلی بیماری لثه شامل ژینژیویت (التهاب سطحی لثه) و پریودنتیت (التهاب شدید و تخریب بافت های عمقی) هستند. اگر این بیماری بدون درمان باقی بماند، می تواند به تحلیل استخوان فک و از دست دادن دندان منجر شود.

بیماری لثه یک مشکل موضعی نیست؛ بلکه اثرات سیستمیک دارد. باکتری های موجود در این بیماری می توانند وارد جریان خون شوند و با ایجاد التهاب گسترده در بدن، زمینه بروز بیماری های قلبی و عروقی، دیابت و مشکلات جنسی را فراهم کنند.
اختلال نعوظ
اختلال نعوظ (ED) به معنی ناتوانی در دستیابی یا حفظ نعوظ کافی برای برقراری رابطه جنسی است. این اختلال می تواند ناشی از عوامل فیزیکی مانند مشکلات عروقی، عصبی، هورمونی، یا روانی مانند استرس و اضطراب باشد. عروق آلت تناسلی به شدت حساس هستند و هر گونه آسیب به جریان خون یا عملکرد اندوتلیال می تواند به سرعت باعث کاهش کیفیت نعوظ شود.

حتی مشکلات خفیف عملکرد نعوظ می توانند نشانه هشدار دهنده برای بیماری های جدی تر مانند تصلب شرایین و دیابت باشند. ارتباط بین سلامت قلب و عملکرد جنسی به اندازه ای قوی است که برخی متخصصان عملکرد جنسی را «آینه سلامت قلب» می دانند.
مکانیسم های علمی ارتباط بیماری لثه با اختلال نعوظ
مسیرهای بیولوژیک ارتباط
مطالعات علمی نشان داده اند که التهاب مزمن ناشی از بیماری پریودنتال می تواند به طور مستقیم بر عملکرد عروق بدن اثر بگذارد. لثه های آلوده و ملتهب محل تجمع باکتری های گرم منفی هستند که موادی مانند لیپوپلیساکاریدها (LPS) آزاد می کنند. این مولکول ها قادرند وارد خون شده و پاسخ های التهابی شدید ایجاد کنند.
یکی از اثرات مهم این التهاب، تخریب اندوتلیوم رگ ها است. اندوتلیوم به صورت طبیعی باعث تنظیم انبساط و انقباض عروق و تولید نیتریک اکساید (NO) می شود که برای جریان خون سالم و ایجاد نعوظ ضروری است. در اثر التهاب ناشی از بیماری لثه، تولید NO کاهش می یابد، عروق سخت و غیرقابل انعطاف می شوند و همین امر باعث اختلال در عملکرد نعوظ می شود.
علاوه بر این، افزایش پروتئین واکنشگر C (CRP) و سایر مارکرهای التهابی در بیماران مبتلا به بیماری لثه، نشان می دهد که بدن در یک وضعیت التهاب مزمن به سر می برد؛ وضعیتی که نقش مهمی در آسیب عروقی و خطرات قلبی و جنسی ایفا می کند.
پژوهش های حیوانی و انسانی
در تحقیقات حیوانی، مطالعه بر روی مدل های موشی نشان داده است که عفونت های پریودنتال می توانند در مدت کوتاهی باعث کاهش عملکرد نعوظ شوند. این یافته ها در مطالعات انسانی نیز تایید شده اند؛ به عنوان مثال، مقاله منتشر شده در Oral Health Group اشاره می کند که مردان مبتلا به بیماری پیشرفته لثه، تا سه برابر بیشتر از افراد سالم، احتمال ابتلا به اختلال نعوظ دارند.
همچنین، مطالعات اورولوژی نشان داده اند که درمان بیماری لثه نه تنها سلامت دهان را بهبود می بخشد بلکه بعد از چند ماه، امتیاز تست عملکرد نعوظ (IIEF score) نیز افزایش پیدا می کند. این موضوع تاییدی است بر اینکه التهاب دهان و اثرات سیستمیک آن نقش مستقیمی در عملکرد جنسی دارند.
آمار و داده های پژوهشی
یکی از مطالعات بزرگ که در سال ۲۰۲۳ در مجله Journal of Periodontology منتشر شده، شامل بیش از ۳۰۰۰ مرد بوده و ارتباط قوی بین بیماری لثه و اختلال نعوظ را گزارش کرده است. نتایج این مطالعه به شرح زیر بود:
| گروه شرکت کنندگان | درصد مبتلا به اختلال نعوظ | درصد مبتلا به بیماری لثه | ارتباط آماری |
|---|---|---|---|
| مردان سالم بدون بیماری لثه | ۱۲% | — | — |
| مردان با بیماری لثه متوسط | ۲۲% | ۱۰۰% | P<0.05 |
| مردان با بیماری لثه شدید | ۳۸% | ۱۰۰% | P<0.01 |
این جدول نشان می دهد که شیوع اختلال نعوظ در مردان مبتلا به بیماری شدید لثه بیش از سه برابر افراد بدون بیماری لثه است.
همچنین، بررسی های انجام شده در کشور ترکیه، کره جنوبی و ایتالیا نیز نتایج مشابهی را گزارش کرده اند. نکته مهم در این یافته ها این است که حتی پس از کنترل سایر عوامل خطر مانند سن، سیگار و دیابت، ارتباط بین بیماری لثه و اختلال نعوظ همچنان باقی ماند.
عوامل خطر مشترک بین بیماری لثه و اختلال نعوظ
سبک زندگی ناسالم
برخی عوامل خطر برای بیماری لثه و اختلال نعوظ مشترک هستند، مانند مصرف دخانیات، رژیم غذایی ناسالم، کم تحرکی و مصرف الکل. هر یک از این عوامل نه تنها باعث افزایش التهاب و تخریب بافت دهان می شوند بلکه به طور مستقیم بر جریان خون و عملکرد قلب تاثیر منفی دارند.
سیگار، به عنوان مثال، باعث تنگی عروق و کاهش اکسیژن رسانی می شود و از سوی دیگر سیستم ایمنی را تضعیف می کند، که این شرایط برای رشد باکتری های مولد بیماری لثه مساعد است.
بیماری های مزمن
دیابت، فشار خون بالا و چاقی از جمله بیماری های مزمنی هستند که هم با اختلال نعوظ و هم با بیماری لثه ارتباط دارند. این بیماری ها با ایجاد تغییرات عروقی و افزایش سطح قند خون، زمینه را برای التهاب مزمن و آسیب اندوتلیال فراهم می کنند.
بر اساس مطالعات، افراد دیابتی مبتلا به بیماری لثه تا دو برابر بیشتر امکان ابتلا به اختلال نعوظ دارند و این تاثیر زمانی بیشتر می شود که کنترل قند خون ناکافی باشد.
نقش التهاب مزمن در آسیب عروق و عملکرد جنسی
التهاب مزمن، ویژگی اصلی هر دو بیماری لثه و اختلال نعوظ است. حضور طولانی مدت مارکرهای التهابی مانند اینترلوکین-۶، TNF-alpha و CRP در بدن به معنای فعالیت دائم سیستم ایمنی در برابر یک محرک است. این فعالیت طولانی مدت باعث آسیب اندوتلیوم، اختلال در عملکرد عروقی و کاهش توانایی اتساع رگ ها می شود.
در بیماری لثه، لثه ها به عنوان یک منبع دائمی التهاب عمل می کنند. التهاب باعث ترشح آنزیم هایی مانند متالوپروتئینازها می شود که بافت های بدن را تجزیه می کنند. وقتی این آنزیم ها وارد جریان خون می شوند، نه تنها به بافت های دهان بلکه به عروق سراسر بدن و حتی عروق آلت تناسلی آسیب رسانده و مانع عملکرد طبیعی می شوند.
این مسیر بیولوژیک توضیح می دهد که چرا حتی بدون وجود عوامل خطر دیگر، التهاب دهان می تواند به مشکل جنسی منجر شود.
اهمیت بهداشت دهان در پیشگیری از اختلال نعوظ
حفظ سلامت لثه ها نه تنها برای جلوگیری از پوسیدگی دندان اهمیت دارد بلکه می تواند به سلامت جنسی مردان نیز کمک کند. رعایت نکات بهداشت دهان مانند مسواک زدن صحیح دو بار در روز، استفاده از نخ دندان، شستشوی دهان با محلول های آنتی باکتریال و مراجعه منظم به دندانپزشک، باعث کاهش بار باکتریایی دهان و در نتیجه کاهش التهاب می شود.

بر اساس یافته های کلینیکی، مردانی که مطالعه منظم دندانپزشکی و جرم گیری را انجام می دهند، کمتر دچار مشکلات جنسی می شوند. این موضوع به ویژه در مردان بالای ۴۰ سال که خطر اختلال نعوظ بیشتر است، اهمیت ویژه دارد.
روش های تشخیص بیماری لثه و ارزیابی عملکرد جنسی
تشخیص بیماری لثه
تشخیص بیماری لثه توسط دندانپزشک یا متخصص پریودنتیست انجام می شود. مراحل تشخیصی شامل:
- بررسی بالینی لثه: مشاهده قرمزی، تورم، خونریزی هنگام مسواک یا نخ دندان.
- سنجش عمق پاکت: با استفاده از پروب پریودنتال، عمق فاصله بین دندان و لثه اندازه گیری می شود؛ بیش از ۳ میلی متر می تواند نشانه بیماری باشد.
- تصویربرداری رادیوگرافی: برای بررسی تحلیل استخوان اطراف دندان.
- آزمایش مارکرهای التهابی: در برخی مطالعات، آزمایش خون برای سنجش CRP و سایر شاخص های التهاب نیز انجام می شود.
تشخیص زودهنگام بیماری لثه اهمیت زیادی دارد، زیرا درمان در مراحل ابتدایی ساده تر و موفق تر است و می تواند از اثرات سیستمیک مانند اختلال نعوظ جلوگیری کند.
ارزیابی عملکرد جنسی
ارزیابی اختلال نعوظ توسط متخصص اورولوژی شامل:
- مصاحبه بالینی: بررسی سابقه جنسی، عوامل روانی، بیماری های زمینه ای.
- پرسشنامه IIEF (International Index of Erectile Function) برای سنجش شدت اختلال نعوظ.
- آزمایش خون: بررسی سطح هورمون تستوسترون، قند خون، چربی ها، و مارکرهای قلبی.
- سونوگرافی داپلر آلت تناسلی: برای بررسی جریان خون و عملکرد عروقی.
ارتباط یافته ها از این دو حوزه (دهان و دندان و اورولوژی) می تواند تصویر کامل تری از وضعیت سلامت مرد فراهم کند.
درمان بیماری لثه برای کاهش خطر اختلال نعوظ
درمان پریودنتال
- جرم گیری و روت پلنینگ: حذف پلاک و جرم زیر و روی خط لثه و صاف کردن سطح ریشه دندان.
- درمان های آنتی بیوتیکی: استفاده موضعی یا سیستمیک از آنتی بیوتیک ها برای کنترل باکتری ها.
- جراحی فلپ یا بازسازی بافت: در موارد شدید برای حذف بافت بیمار و بازسازی استخوان یا لثه.
درمان موثری که التهاب دهان را کنترل کند، می تواند سطح مارکرهای التهابی خون را کاهش دهد و این موضوع تاثیر مثبتی بر سلامت عروق و عملکرد جنسی دارد.
پیگیری نتایج بر عملکرد جنسی
مطالعات نشان داده اند که مردان مبتلا به بیماری لثه که تحت درمان کامل قرار گرفتند، پس از حدود ۳ تا ۶ ماه بهبود قابل توجهی در امتیاز IIEF داشتند. این بهبود به دلیل کاهش التهاب و بازگشت نسبی عملکرد اندوتلیوم رخ می دهد.
پیشگیری و تغییر سبک زندگی
پیشگیری از بیماری لثه و اختلال نعوظ نیازمند رویکردی جامع به سلامت عمومی است:
- حفظ بهداشت دهان و دندان: مسواک زدن منظم، استفاده از نخ دندان و دهانشویه آنتی باکتریال.
- ترک دخانیات: سیگار یکی از مهم ترین عوامل تخریب عروق و افزایش التهاب دهان است.
- رژیم غذایی سالم: مصرف سبزیجات، میوه ها و منابع امگا ۳، و کاهش مصرف قند و چربی های ترانس.
- فعالیت بدنی منظم: ورزش باعث بهبود جریان خون و عملکرد قلب، عروق و اندوتلیوم می شود.
- کنترل بیماری های مزمن: دیابت، فشار خون و چربی خون باید تحت کنترل قرار گیرند.
- کاهش استرس: استرس مزمن اثر منفی بر سیستم عصبی و عملکرد جنسی دارد.
این اقدامات نه تنها از بیماری لثه و اختلال نعوظ پیشگیری می کند بلکه سلامت کلی بدن را نیز ارتقا می دهد.
نتیجه گیری
ارتباط بین بیماری لثه و اختلال نعوظ موضوعی است که تحقیقات جدید به طور جدی آن را تایید کرده اند. التهاب مزمن ناشی از بیماری پریودنتال می تواند بر سلامت عروق تاثیر بگذارد و عملکرد جنسی مردان را مختل کند. آگاهی از این ارتباط اهمیت ویژه ای دارد، زیرا پیشگیری و درمان بیماری لثه می تواند نه تنها سلامت دهان بلکه کیفیت زندگی جنسی را بهبود بخشد.
مردان باید سلامت دهان و دندان را به عنوان بخشی از سلامت عمومی بدن در نظر بگیرند و با رعایت بهداشت دهان، معاینه منظم و درمان به موقع مشکلات لثه، خطر ابتلا به اختلال نعوظ را کاهش دهند. این رویکرد جامع باعث می شود که بدن در شرایط بهینه عملکرد عروقی و جنسی باقی بماند.
سوالات متداول (FAQ)
۱. آیا بیماری لثه واقعا می تواند باعث اختلال نعوظ شود؟
بله، تحقیقات علمی نشان داده اند که التهاب مزمن ناشی از بیماری لثه می تواند با کاهش عملکرد اندوتلیوم و کاهش جریان خون در آلت تناسلی، احتمال اختلال نعوظ را افزایش دهد.
۲. اگر بیماری لثه درمان شود، اختلال نعوظ هم برطرف می شود؟
در بسیاری از بیماران، پس از درمان کامل بیماری لثه و کاهش مارکرهای التهابی، عملکرد نعوظ بهبود پیدا می کند؛ البته این موضوع به عوامل دیگری مانند سن، بیماری های زمینه ای و سبک زندگی نیز وابسته است.
۳. چه اقداماتی می توان برای پیشگیری از هر دو مشکل انجام داد؟
رعایت بهداشت دهان، ترک دخانیات، رژیم غذایی سالم، ورزش منظم و کنترل بیماری های مزمن مثل دیابت و فشار خون از مهم ترین اقدامات پیشگیرانه هستند.
منابع علمی
- Oral Health Group. Analysis Links Gum Disease to Higher Risk of Erectile Dysfunction. لینک مقاله
- Journal of Periodontology, 2023. Periodontal Disease and Erectile Dysfunction: Systemic Inflammation as a Common Pathway.
- American Academy of Periodontology. Gum Disease and Overall Health.




